![IMG_8745[133].jpg](https://static.wixstatic.com/media/590211_f7410fdae54e46dd8806e42dfdfb68fb~mv2.jpg/v1/fill/w_980,h_347,al_c,q_80,usm_0.66_1.00_0.01,enc_avif,quality_auto/590211_f7410fdae54e46dd8806e42dfdfb68fb~mv2.jpg)
for Doctor
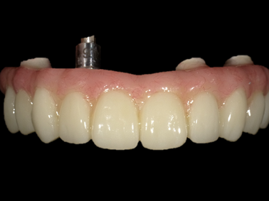
インプラント補綴からガイド、ジルコニア補綴物まで——
各種口腔内スキャナー(TRIOS・iTero・CEREC・MEDIT など)に完全対応し、
スピーディかつ高精度な補綴物を全国の医院様にお届けしています。
ガイデッドサージェリー
妥協なき“純正部材 × 最新設備”による、
安心・安全なインプラント手術のための精密サージカルガイドを製作します。
-
ストローマン純正ソフト「coDiagnostiX」対応
-
Straumann P30+ による34μmの高精度3Dプリント
-
1本~フルマウス、スタッカブルガイドにも対応
-
即日対応・納品スピードのご相談も可能
【こんな医院様におすすめ】
▶ 導入前のトライアルでまずは一部の症例だけに使いたい方
▶ ソフトは導入していないが、ガイドは使用したい方
▶ 設計~製作まで全てお任せで丸投げしたい方
― ソフトなしでもOK!―
導入不要・即運用可能な体制をご用意しています。
お気軽にご相談ください。
インプラント
クラウン〜ロングスパン〜フルマウスまで幅広く対応。
模型レスでも高精度な補綴を納品できる体制を整えております。
-
スキャナデータのみで完結できる完全デジタル対応
-
各種インプラント(Straumann、Nobel、Astra、OSSTEM他)に柔軟対応
-
フレーム調整、3D模型による適合確認も可能
-
多数のフルマウス症例の実績あり
ご希望があれば、症例ごとの製作フローや設計方針も共有いたします。
ジルコニア
審美性と耐久性を両立させた、目的に応じたカスタムジルコニアをご提案。
-
フルジルコニア/ボンドタイプ/カラーレス/フルベイク対応
-
審美優先の高透過タイプ、強度優先の単色タイプに対応
-
模型レス対応でも適合確認用に3Dプリント模型付きで納品可能
「審美性の高さはもちろん、デジタル印象で無調整でセットできるからチェアタイムが格段に短縮された!」
とたくさんの医院様から好評いただいております。
e-max
前歯部やインレーなど、審美性・透明感を求める症例に最適な補綴材。
天然歯のような色調と質感を再現できるe.maxは、審美補綴の第一選択肢として幅広く採用されています。
-
優れた透過性・審美性・適合精度をバランスよく両立
-
ラミネートベニアや前歯クラウンで高い評価
-
e.maxをフレームとしたボンドタイプの製作にも対応可能
-
シェードテイク・設計段階からの症例相談も承ります
症例や部位に応じたマテリアル選定もお気軽にご相談ください。
CAD/CAM冠
「保険技工の域を超えている」と好評の、完成度の高い技工物をご提供。
-
ステイン仕上げによる自然な色味表現
-
前歯・臼歯を問わず全部位に対応
-
3Dプリント模型で適合確認/模型レスも対応
-
全国対応/お急ぎの発送も症例により可能
実際に「患者様が保険と気づかないほど自然だった」という声も多数いただいております。
\まずはお問い合わせください!/
for Technician
技工所・個人技工士様向けに、デジタル加工サービスを展開中!
CADデザイン・CAMミリング・3Dプリントすべてに対応。
業務の一部委託から全面サポートまで、用途に応じて柔軟に対応いたします。

CADデザイン代行
「設計業務だけでもお願いしたい」「急ぎでCADを仕上げてほしい」
そんなニーズにお応えするスピード対応のCADデザイン代行です。
-
使用ソフト:exocad/3Shape Dental System/CARES Visual
-
フレーム設計/アナトミカル設計/インプラント上部構造対応
-
STL納品・ミリング連携もOK
-
他社との連携経験多数。設計仕様の共有もスムーズに
設計のみの単発依頼から、ルーティン依頼まで幅広く対応可能です。
ミリング代行
DWX-52D/53Dの2機種を運用し、納期と精度の両立を実現しています。
-
PMMA/ジルコニア/ハイブリッドなど各種材料に対応
-
53Dは自動工具交換機能搭載で、大量オーダーにも対応可
-
ステイン仕上げ/研磨艶出し仕上げにも対応
「手元にCAMがないけど、短納期で補綴を仕上げたい」
そんな技工士様にとって頼れる外注先を目指しています。


3Dモデル製作
精度×スピード×対応力の三拍子そろった3Dプリント造形をご提供。
-
使用機材:Straumann P30+(解像度34μm)
-
ガイド用模型/作業模型/ワーキングモデルなど対応
-
データ不備も柔軟に補完、初回の依頼でも丁寧にサポート
-
造形パターンは用途に応じて調整済み(サポート除去済み対応もOK)
STLデータが不安な方も、まずはご相談ください。
送信方法など、丁寧にご案内いたします。
\まずはお問い合わせください!/




















